
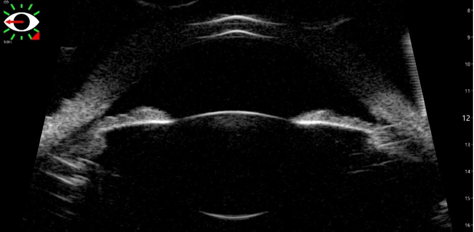
The ArcScan Insight® 100 is an intelligent anterior segment imaging system that uses very high frequency ultrasound technology. The ArcScan Insight® 100 device and software create a powerful platform that enables users to easily obtain stunning high resolution images in micron precision of the entire anterior segment, including areas that can not be imaged with optical technologies.
Precision imaging behind the iris for better ICL/IOL sizing.
Wide-angle cornea layer mapping for keratoconus screening and inlay evaluations.
We take pride fighting for individuals, not big insurance companies.


Our aim is to partner with your business providing the best quality equipment, technical support, and industry knowledge, allowing your patients enjoy the best in diagnosis and treatment.
Are you ready to order, do you need a personalised presentation, or just want to sign up for the most advanced ophthalmologic products?
We are here to help you...